Coronavirus

COVID-19 can invade testicles, University of Miami researchers find. What can this mean?

COVID-19 can invade tissues in the testicles in some men who are infected with the novel coronavirus, according to a new study by a team of University of Miami Miller School of Medicine researchers.

The UM study was published Tuesday in The World Journal of Men’s Health.

“These findings could be the first step in discovering COVID-19’s potential impact on male fertility and whether the virus can be sexually transmitted,” said the study’s lead author, Dr. Ranjith Ramasamy, an associate professor and director of reproductive urology at UM’s Miller School.

How the study was conducted

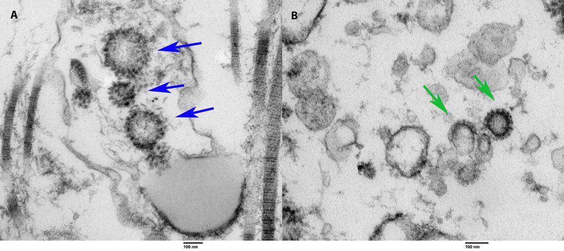
COVID-19 viral particles found via electron microscopy. On the left is tissue taken from a live, previously COVID-positive patient. On the right is tissue collected via autopsy from a person who died of COVID-19. The arrows point toward the spiked COVID viral particles in both specimens, according to a study by University of Miami doctors.
COVID-19 viral particles found via electron microscopy. On the left is tissue taken from a live, previously COVID-positive patient. On the right is tissue collected via autopsy from a person who died of COVID-19. The arrows point toward the spiked COVID viral particles in both specimens, according to a study by University of Miami doctors. University of Miami

Ramasamy and eight colleagues analyzed testis tissue from the autopsies of six men who died of COVID-19 infection in Miami-Dade County. They found impaired sperm function in three of the testis specimens and evidence of COVID-19 using electron microscopy in the tissue of one.

“We also identified the presence of the virus in a man who underwent a testis biopsy for infertility but had a previous history of COVID-19. So the patient tested negative and was asymptomatic after having COVID-19 but still showed the presence of the virus inside the testes,” Ramasamy said in a statement.

The COVID-19-positive autopsy patients’ ages ranged from 20 to 87, according to the health journal.

The COVID-19-negative patients’ ages ranged from 28 to 77.

The average length of time from the first positive COVID-19 test to death was 11 days, with one case tested after the man’s death.

The age of the live patient with antibody seroconversion post-COVID-19 infection was 28.

Why COVID-19 might affect testicle function

Dr. Kevin Chu, a post-graduate year five Department of Urology resident (left) at the University of Miami Miller School of Medicine, with Dr. Ranjith Ramasamy, associate professor and director of reproductive urology at UM (right). Ramasamy led a study that found COVID-19 can invade tissues in the testicles in some men who are infected with the novel coronavirus.
Dr. Kevin Chu, a post-graduate year five Department of Urology resident (left) at the University of Miami Miller School of Medicine, with Dr. Ranjith Ramasamy, associate professor and director of reproductive urology at UM (right). Ramasamy led a study that found COVID-19 can invade tissues in the testicles in some men who are infected with the novel coronavirus. University of Miami

“This is the first published research to report on the case of a live patient to demonstrate the presence of COVID-19 in testis tissue of a patient who recovered from the virus. The finding is novel, remarkable, and certainly worthy of further exploration,” Ramasamy said.

Researchers know that COVID-19 can affect the lungs, heart, kidneys and liver. But until UM’s study, little was known about the pathogenesis of the virus in the testes, The World Journal of Men’s Health reported.

According to the school, “it makes sense that the testes, which are responsible for sperm and testosterone production, are a target for COVID-19 infection. The virus has an affinity for angiotensin-converting enzyme-2 receptors, which are in many of the body’s organs —including the lungs, heart, intestines, kidneys and testes.”

But there is still a question about how much of the virus needs to be present in the testes to be detected in semen, as well as what threshold of viral load is needed in the semen to be sexually transmitted.

Several other viruses, like the mumps, can affect sperm production, lead to inflammation of the testicles, and cause fertility problems in 10% to 20% of men who get mumps — for which there is a vaccine.

COVID-19 could work in a similar way by causing an inflammatory process, said the study’s first author, UM medical student Justin Achua.

The UM’s study on the autopsies found that testis infected by COVID-19 had signs of inflammation with white blood cells invading the testes, Achua said.

Patients in study from Miami-Dade

The study has some particular resonance in Florida, Ramasamy believes. “Florida remains in the top three states in the U.S. with the number of COVID-19 infections,” he said.

On Friday, the state’s resident death toll passed 17,000 as Florida added 5,245 COVID-19 cases to bring the state’s known total to 832,625.

Miami-Dade, where the patients used for this study lived and died, had nearly 192,000 confirmed cases and 3,671 deaths as of Friday.

What you can do

Dr. Ranjith Ramasamy (left) and Dr. Thomas Masterson, assistant professor of clinical urology at the University of Miami Miller School of Medicine.
Dr. Ranjith Ramasamy (left) and Dr. Thomas Masterson, assistant professor of clinical urology at the University of Miami Miller School of Medicine. University of Miami

“For now, the study’s finding suggests that men of all ages who have COVID-19 and experience testicular pain should make an appointment to see a urologist,” Ramasamy urged.

“Testicular pain along with other symptoms could be a sign that COVID-19 has entered the testes, and if men are thinking about fertility and/or low testosterone either at present or in the future, they should get their testosterone levels evaluated with a blood test and sperm parameters evaluated with a semen analysis,” he said.

This story was originally published November 6, 2020 at 5:28 PM.

Howard Cohen
Miami Herald
Miami Herald consumer trends reporter Howard Cohen, a 2017 Media Excellence Awards winner, has covered pop music, theater, health and fitness, obituaries, municipal government, breaking news and general assignment. He started his career in the Features department at the Miami Herald in 1991. Cohen is an adjunct professor at the University of Miami School of Communication. Support my work with a digital subscription
Get unlimited digital access
#ReadLocal

Try 1 month for $1

CLAIM OFFER