National

Man has serious pelvic pain after motorcycle crash — then doctors find rogue testicle

A man in his 20s was seriously injured in a motorcycle crash in Italy, leading to one of his testicles dislocating from his scrotum, doctors said.
A man in his 20s was seriously injured in a motorcycle crash in Italy, leading to one of his testicles dislocating from his scrotum, doctors said. Getty Images/iStockphoto

A man in Italy is lucky to be alive after a serious motorcycle crash landed him in the emergency room and made him a medical anomaly.

The man, in his 20s, was bleeding significantly from the bottom half of his body, with his pelvis broken in multiple places.

But when doctors rushed to stabilize him, they noticed something odd about his injuries: They could only find one testicle.

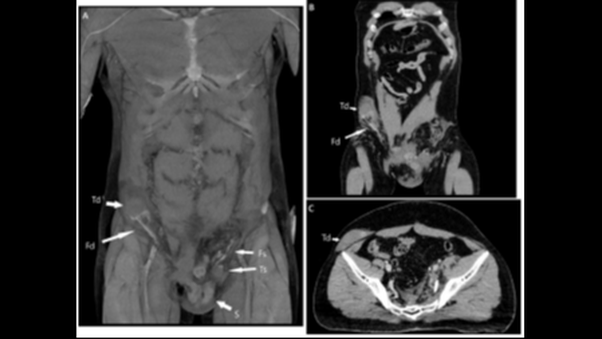
“The left testis was identified in its proper position,” doctors wrote in a Sept. 26 case report published in BMJ Case Reports, “instead the right testis was not in its usual place in the scrotum.”

The doctors decided to take a closer look using a CT scan.

On the right side of the man’s body, lodged in the upper portion of the pelvis past the bladder, was his other testicle, fully intact, according to the report.

The man’s testicle, marked by the letters “Td,” moved to the upper right portion of his pelvis, doctors said.
The man’s testicle, marked by the letters “Td,” moved to the upper right portion of his pelvis, doctors said. BMJ Case Reports 2023

The doctors used a Doppler signal, a type of ultrasound that shows blood movement through blood vessels, to confirm the testicle was unharmed, despite its rogue journey north.

The man underwent surgery to stabilize his injuries, the report said, and doctors found the testicle while working around his pelvis

The testicle was slightly bluish in color, doctors said, since it had been compressed in his body. But they were able to warm the testicle up, restoring its original color.

The testicle was removed from the pelvis and then placed back in the man’s scrotum to join the other, the report said.

A doctor in 1809 was the first to describe this type of injury, now called a testicular expulsion, doctors wrote.

The injury is called testicular expulsion, when a free floating testicle is pushed through the inguinal canal of the pelvis and into the body.
The injury is called testicular expulsion, when a free floating testicle is pushed through the inguinal canal of the pelvis and into the body. Gaia Colalillo BMJ Case Reports 2023

A dislocated testicle can become free floating within a scrotum, thereby able to move upward toward the inguinal canal at the bottom of the abdominal wall, according to the report.

The inguinal canal is a small passageway through the pelvis, just 1.5 to 2.3 inches long, that acts as a tunnel for vessels and tubes to pass through to the scrotum in males, according to a 2023 study published in StatPearls.

When the man’s pelvis was broken in the motorcycle accident, his testicle became loose and was able to slip, or possibly be pushed, through the canal and into his abdomen.

In a review of previous cases, the doctors found 80% of men with this injury were in their mid-20s, according to the report.

Doctors wrote it’s important to use medical imaging to find the wandering testicle quickly in order to maintain its viability for relocation.

In the 15% of cases where the quick action fails, the testicle has to be completely removed, according to the report.

Read Next
Read Next
Read Next
Read Next
Irene Wright
McClatchy DC
Irene Wright is a McClatchy Real-Time reporter. She earned a B.A. in ecology and an M.A. in health and medical journalism from the University of Georgia and is now based in Atlanta. Irene previously worked as a business reporter at The Dallas Morning News.
Get unlimited digital access
#ReadLocal

Try 1 month for $1

CLAIM OFFER