Health Care

As CDC warns against vaping, FL medical marijuana community says that doesn’t mean us

U.S. public health officials had a strong warning for those who use vaporizers and e-cigarettes Friday afternoon: You should probably stop vaping.

The suggestion came shortly after a third vaping-related death due to sudden, serious lung disease was reported in Indiana. That followed a death in Illinois and another in Oregon, where a man who bought a marijuana vaporizer from a legal dispensary died of lung disease. A possible fourth U.S. death is being investigated.

The disease striking people who vape has been tied, in many cases, to products that contain THC, the main active ingredient in marijuana, the U.S. Centers for Disease Control and Prevention (CDC) said.

In Florida, however, doctors and medical marijuana treatment centers say there is little cause for concern in the state, where about 357,000 patients are approved to use the drug as medicine. Many of them use a vaporizer to inhale oils or whole flower marijuana.

“In the regulated markets, we tend to be as safe as we can,” said Barry Gordon, a Venice-based licensed marijuana doctor and adviser to Agriculture Commissioner Nikki Fried. He treats the third-largest group of marijuana patients in Florida. “We feel like it is an appropriate means of delivering rapid and reliable means of relief.”

Courtney Coppola, director of the state’s medical marijuana program, said she is still reviewing the report but urges patients to be wary and report any negative reaction to vaping their medication.

“As these investigations continue to develop it is important that patients consult with their qualified marijuana ordering physician on the safest route of medical treatment, and immediately seek medical assistance if they experience respiratory distress,” she wrote in an email.

Read Next

A major case study published Friday in the New England Journal of Medicine found that more than 25 states have reported vaping-related lung disease, 215 vaping-related lung disease cases were confirmed and 235 more were being investigated. Symptoms include cough, shortness of breath, chest pain, nausea and fatigue, the CDC said. While some patients said their symptoms developed over a few days, others said symptoms arose after several weeks.

E-cigarette (and vaporizer) liquids and aerosols contain a range of chemicals like propylene glycol and glycerin, polycyclic aromatic hydrocarbons, nitrosamines and even inorganic chemicals such as toxic metals. The chemicals are often used in black market products as cutting agents and can be destructive to the lung cavity. The heating coils that act as a combusting agent may also release metals such as manganese and zinc into the aerosol, which can be toxic when inhaled.

Although the exact cause or causes of the reported illnesses remain under investigation, products containing THC — the naturally occurring component in marijuana that produces a high — are the most commonly reported e-cigarette product among the case patients (84%).

On the CDC’s website, it advises young adults and pregnant women to stop using e-cigarettes and recommends that smokers attempting to quit use counseling and FDA-approved medications instead.

The average patient suffering from vape-related lung disease is 19 years old, young and healthy, and most of the patients had no relevant medical history or chronic lung disease, according to the report. All but three patients were hospitalized for the illness, and about a third of them had to use a ventilator or a breathing tube.

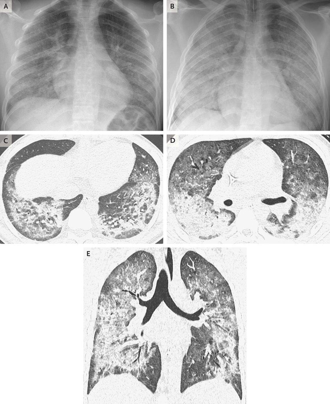
Chest radiographs and high-resolution imaging in a 17-year-old male patient with diffuse lung disease.
Chest radiographs and high-resolution imaging in a 17-year-old male patient with diffuse lung disease. New England Journal of Medicine

“We are committed to finding out what is making people sick,” said CDC Director Robert Redfield. “All available information is being carefully analyzed, and these initial findings are helping us narrow the focus of our investigation and get us closer to the answers needed to save lives.”

Patients in Florida say they trust the products they use, largely because of rule-making and inspection procedures put in place by the state. It’s the black market vapes people should worry about, they say.

Jason Perlow, a 50-year-old computer security writer from Coral Springs, became a medical marijuana patient in June 2017 and uses vaporizer daily to treat his anxiety.

He says he mostly relies on products from VidaCann, which he says uses natural terpenes to replicate the effect of a cannabis plant. Perlow also uses GrowHealthy and Liberty Health Sciences Products, which he describes as similarly reliable.

Perlow only vapes a couple of times a day, unlike former smokers who may vape throughout the day to kick their cigarette addiction.

There, he says, lies the difference.

“People who use it for anxiety and depression … they’re not vaping constantly,” Perlow said. “The amount of ingestion is lower.”

Read Next

Paul Tuttle, a 42-year-old hot tub mechanic from Sarasota, is a bit more skeptical. He uses vape cartridges from AltMed to help with back pain, sleeplessness and anxiety, but refuses to buy from companies like Trulieve, which sell cartridges that contain additives.

Tuttle says “you can absolutely have cartridges without them.”

“Cannabis doctors should have been warning patients of this,” he said.

Trulieve, Florida’s largest licensed medical marijuana retailer, says because initial reports indicate the products in question lack the quality control the state requires, regulated vendors should be considered safe, including itself.

“All Trulieve branded products are subject to industry-leading quality control measures, including independent laboratory testing,” Trulieve spokeswoman Victoria Walker wrote in an email. “We will continue to monitor the situation and want to assure our customers that we take all necessary steps to deliver top quality products.”

Multi-state marijuana giant Surterra said it will “relentlessly” continue to follow safety standards set by the states in which it operates, and that Florida patients can trust “legitimate companies” like it. Spokeswoman Laurie MacKenzie noted in an email that since Florida marijuana companies are “vertically integrated,” or handle the process seed-to-sale without any third parties, patients can trust that the process is clean of dangerous chemicals.

“The news of people becoming ill by e-cigarettes underscores the importance of a legal and licensed cannabis market,” Surterra spokeswoman Laurie MacKenzie wrote in an email. “Cannabis vaping products, which are sold in licensed dispensaries, pass rigorous testing procedures.”

Florida marijuana companies Curaleaf, Liberty Health Sciences, Fluent, VidaCann, GrowHealthy and AltMed did not respond to requests for comment Friday.

This story was originally published September 6, 2019 at 6:10 PM.

Samantha J. Gross
Miami Herald
Samantha J. Gross is a politics and policy reporter for the Miami Herald. Before she moved to the Sunshine State, she covered breaking news at the Boston Globe and the Dallas Morning News.
Get unlimited digital access
#ReadLocal

Try 1 month for $1

CLAIM OFFER